噛み合わせ と 顎関節症
治療 及び 考え方
噛み合わせに関するお悩み
‣自分の噛む場所がわからない
‣アゴが痛い・こめかみ・耳の前あたりが痛い
‣固い物が噛めない
‣口を開けるとアゴの関節の音が鳴る
‣食いしばりが治らない
‣朝起きるとアゴがだるい
‣大きな口が開かない
‣被せ物や詰め物を入れてから噛み合わせがおかしい
‣矯正治療後、噛み合わせが合っていない

*アゴを打った(事故やスポーツなど)
*歯の治療(修復物)が多く、治療ごとに少しずつ噛み合わせがずれてしまった
*治療の際に何となく噛んだ位置で修復物を入れた
*左右に顎を動かしたときの調整をしていない修復物を入れた
*頬杖をついたりする癖がある場合
【修復物とは、被せ物、クラウン、ブリッジ、詰め物の総称】
噛み合わせの不調で悩んでおられる方が多くお越しになります。
むやみに噛み合わせの治療として歯を削ったり、マウスピースをいれたりする前に、今のお口の状態をデンタルドックで調べることにより、貴方の現在の状態と正しいかみ合わせに関する知識を持っていただきたいと考えています。

デンタルドックで噛み合わせの検査
噛み合わせ検査が必要です。
エビデンスに基づいた診療システムを推奨します。
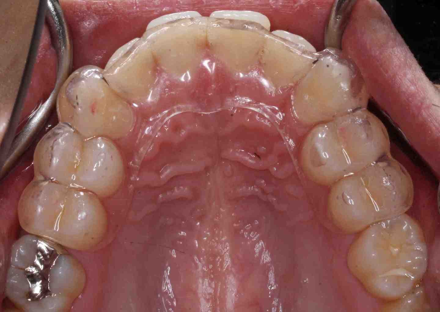
[アゴの関節]と[歯の並び] の関係を調べます。
噛み合わせの検査は、アゴの正しい位置を求めることから始まります。


顎関節症の症状が進行するとこの関節円板の位置が移動してしまいます。そして、噛み合わせの変化やアゴの周辺の筋肉の緊張などが起こり上記のような症状がひき起こるわけです。


アゴの関節の病状を診断

アメリカ卒後研修施設:THE PANKEY INSTITUTE、Dr.Peter Dawson創設:The Dawson Academy、フロリダ大学、ミシガン大学などで支持されている噛み合わせの診断方法および治療方法になります。
自分の好きな場所で、噛んだ位置は習慣的な噛み合わせの位置で、アゴと歯が調和した噛み合わせとは限らないことが多いのです。
世界の噛み合わせ専門医が行っている検査方法になります。このような顎関節の正しい位置を決める噛み合わせについて、日本の大学では教えられていないのが現状です。海外でも高度な噛み合わせについて、歯科医師は卒後研修施設で勉強します。


正しいかみ合わせを 調べることを体験してください
ドーソン法 及び パンキー・マン・スカイラー法(PMS法)という咬合理論が世界では認められています。日本の大学では教育していません。日本の歯科医が独自に開発した考え方ではありません。
「中心位」と言う 噛み合わせの基本となる 「正しい噛み合わせ」を見つける事により、今のあなたの噛み合わせの悩みを 解決する 糸口になります。

顎の関節と調和していない噛み合わせを診断することから始めます。
マッサージ、ストレッチ、安易なマウスピースでは、根本的な治療にはなりません、本当の原因の検査から始めましょう。
顎が痛い、噛む所が分からない方。
一本の歯の噛み合わせのズレが 顎関節の不調の原因になります。
正しい咬み合わせを見つけることが第一歩。

50年前より、アメリカ フロリダ州マイアミ Dr.Pankey の教えのもと、Pankey Instituteの設立(1972年)に参加し日本での研修提携(川村歯科研究所:中央区高津)を結びました。
治療方針、噛み合わせ診断 咬合治療はPankey institute 歯科医師卒後研修所の診療方針に基づいています。
パンキー先生は、咬合学の始祖とも言われるスカイラー先生、マン先生とともに、パンキー・マン・スカイラーテクニック(PMSテクニック)という噛み合わせ治療の方法を開発
現在の欧米では咬合治療の主流となっています。
★THE PANKEY INSTITUTE
https://www.pankey.org/
.
★The Dawson Academy
https://thedawsonacademy.com/
★Spear Education
https://www.speareducation.com/
★最近咬合で有名なドーソン先生はパンキー インスティチュートの創設者で、元講師です。
噛み合わせ治療で注意するべき根拠のない治療

★簡易なマウスピース★

多くの歯科医院で作られている簡易な均一な厚みの歯の周りを覆うだけのマウスピース。これを入れることで、症状が改善することは少ないのが現状です。一般の歯科治療でのマウスピースは、噛み合わせを隠すためだけの物が多く、さらに症状を悪化させてしまうものもあります。この形式のマウスピースは歯が全体に厚みができるだけですので奥歯だけしか噛み合せできなくなり、顎関節、歯、筋肉に負担がかかることが多くなります。
長期間の使用は控えた方がいいマウスピースです。
★顎のマッサージ、ストレッチ★

顎関節症の治療として、関節周りのマッサージ、筋肉のマッサージ、関節のストレッチを行うことは一般的なセルフケア方法ですが、やり方によっては危険性やリスクもあります。
一時的な気持ちよさはあるかもしれませんが、自己流のマッサージは逆効果になる場合があります。根本的な原因と今の状態を把握していない場合、余計な負担や、関節や筋肉への負担になります。
また、歯ぎしりや食いしばりの癖がある場合は、それらの原因を改善しないとマッサージやストレッチだけでは効果はあまりありません。
★奥歯だけ一部分が高いマウスピース★


特に奥歯だけを高く作ったマウスピース、顎関節症を専門にされている歯科医院ではまれにこのタイプのマウスピースをすすめる所があります。これは早期にやめていただきたいと思います。長期間装着することで奥歯の上下の歯の接触が無くなってしまうマウスピースがあります。高く作られた部分の歯が圧下してしまうのです。長期間(3ヶ月以上)歯槽骨を伴う変化(歯茎の中に歯がめり込む。・・・。すなわち噛まなくなる。)が起こります。
それにより、奥歯の噛み合わせが無くなり、不正な咬み合わせが無くなることで、顎の症状が改善することがありますが、噛まなくなった歯の多くに修復物を入れなければならなくなります。不要な歯の治療が増えるオススメできない治療と思っています。
★部分的なマウスピース★


上記奥歯だけマウスピースと同じように、前の歯だけのマウスピース、片方だけ、とにかく部分的なマウスピースは咬み合わせを悪化させる可能性が大変高いのです。長期間(2ヶ月以上)部分的なマウスピースを装着することで、取り返しのつかないほど咬み合わせが変化した症例を多く見てきました。早急に装着を中止いただきたいと思います。
前歯だけのマウスピースは、症状の改善は見られますが、長期間の使用はやめましょう。
★かみ合わせを高くする治療に関して★

マウスピースを入れることで、不快感が改善した場合に、そのマウスピースと同じ高さの歯を入れる、高い噛み合わせの歯を入れることは、正しい歯科治療ではありません。噛み合わせの高さを変える治療、特に高くすることは危険です。人間の噛み合わせの筋肉の長さは決まっています。それ以上に高くすることによって、正常な噛み合わせを取り戻すことができなくなり。不定愁訴の原因となります。
★歯周病の原因となる噛み合わせ★

噛み合わせが原因で歯周病の悪化が起こることをご存知でしょうか?噛み合わせと歯周病は無関係ではありません。お口の悪いバランスのかみ合わせ、接触異常によって特定の歯に負担となる噛み合わせがあると、その歯の歯周病は悪化の一途をたどるでしょう。
どのように歯周病治療として衛生管理、歯石除去や歯周手術を行っても、歯の周りの衛生面だけでなく、歯に掛かる力のコントロールができていないと、歯周病の改善には至りません。歯周病治療では噛み合わせの検査と必要なら調整が必須です。
一般に保険診療では歯周病は治らないと言われる要因の大きな一つです。
Dr.PETER E. DAWSONの論文があります。
参考にしてください。
「Changing Vertical Dimension: A Solution or Problem?
咬合高径の変更 -その是非について-」
咬合高径の変更―その是非について.pdf

かみ合わせのズレを見つけることが大切

噛み合わせに違和感はありませんか?
噛み合わせの違和感は長年歯科治療を重ねてる方に多くあります。原因を早く検査で見つけることが大切です。
どうして噛み合わせにズレが出てくるのでしょう?

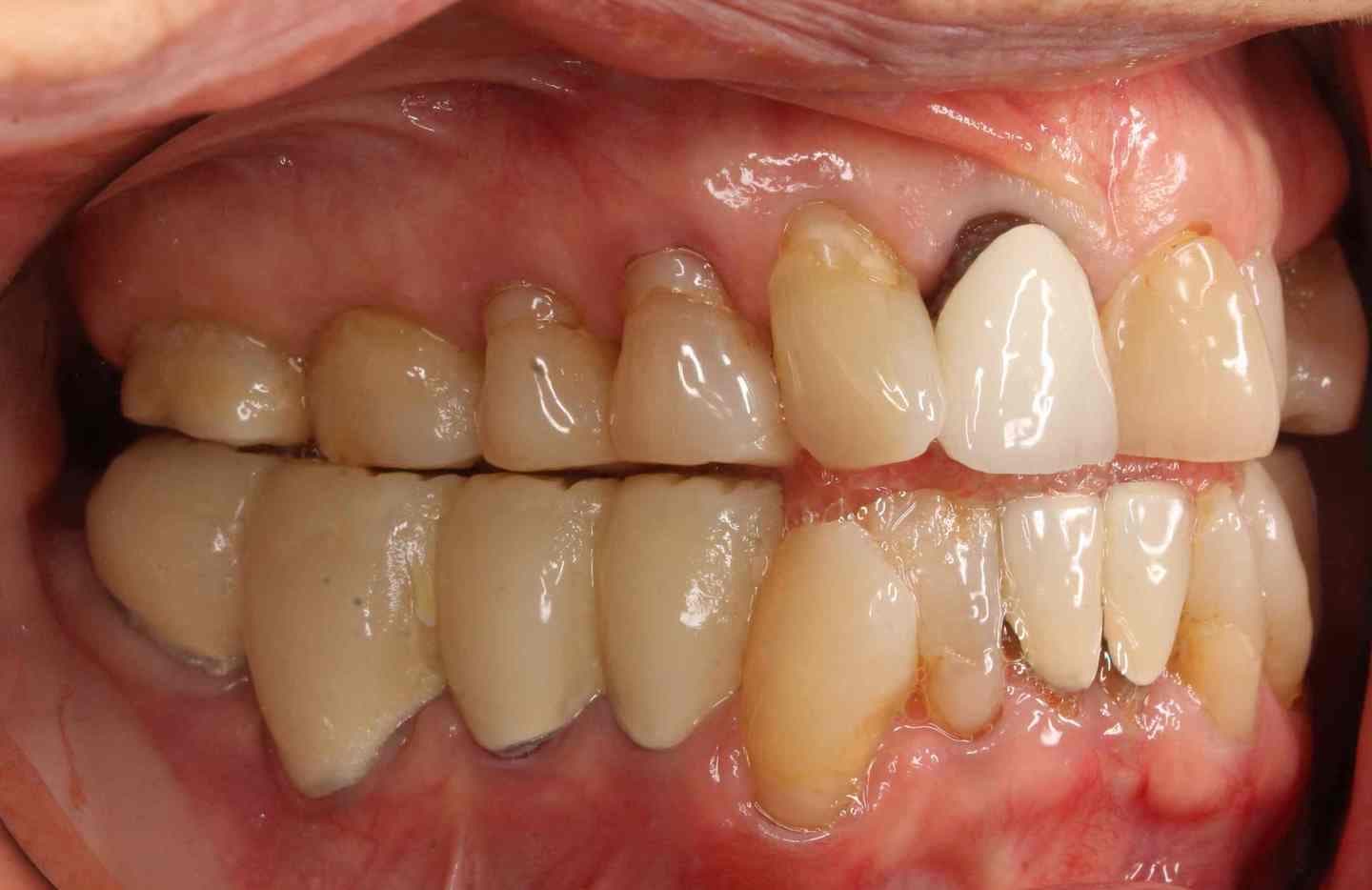
多くの場合、一本の被せ物の狂いから、その内に
慣れるからと気が付けば全体的な噛み合わせのズレが始まります。 ずれたままの噛み合わせが全体的な体の不調を引き起こす事があります。
筋肉の緊張、懲り、睡眠不足、などの不調を引き起こし、
また歯に負担がかかるので「歯周病」、「破折」の原因となります。

患者任せの噛み合わせ・・・
「はい、噛んでください」で噛んだ位置はいつも同じとは限りません。
その人任せになってしまうのです。
そして、被せ物を入れる際に、顎を横に動かしたときに奥歯は当たらないように調整すること。
奥歯に引っかかりがあると、顎関節に負担がかかり、歯ぎしりの原因になります。
治療の数の多い方ほどズレが多くなる傾向があります。

★様々な顎関節症の症状、噛み合わせの違和感は
- 上と下の歯の接触のズレ
- 関節の異常
- 筋肉の緊張
この3種類の原因がどのように起こっているのか
見極めるところから始まります。
噛み合わせ治療
咬合治療 スプリント治療
咬合再構成
噛み合わせの治療の順序
-
インタビュー
-
デンタルドック(咬合接触、顎関節・顎周囲筋・顎運動診査などを含む)
-
MRI撮影(口腔外科依頼)必要な場合
-
治療計画の提示・見積額の提示
-
治療の決定・契約
-
スプリント治療
-
経過観察
-
咬合再検査
-
治療に関するお話
-
咬合治療(咬合調整 および 被せ物治療)
-
経過観察
-
治療終了時の咬合再検査
-
メンテナンス

噛み合わせのキーワードは
”中心位”=正しい位置
日本の大学では”中心位”を診療で採得する方法を教育されていません。
一般的にかみ合わせは「患者さんの噛み合わせる”癖”の位置」で作られています。
特にお口全体の噛み合わせを診断し正しい噛み合わせの位置での’被せ物’や’詰め物’の調整をほとんどされていないのが現状です。
正しい噛み合わせの位置(中心位)は顎の関節により決まっています。
しかしその診断をするためには”中心位”を採得する必要があります。
熟練した中心位の採得が診断に大変重要なのです。

◆ 顎関節症(がくかんせつしょう、英語:temporomandibular disorder, TMD)とは ◆
顎の関節や周囲の筋肉、骨、軟骨、神経などに問題があることで引き起こされる症状の総称です。
具体的には、顎関節周辺の痛みや違和感、開口困難、顎が痙攣する、顎関節がポップ音を発する、歯ぎしり、頭痛、首や肩の痛みなどが挙げられます。顎関節症は、顎を動かす際に痛みを伴うことが多く、食事や口を開けることが困難になる場合もあります。
顎関節症は、歯並びの異常や歯科治療による歯の欠損、ストレス、外傷など、様々な要因が原因となって発症することがあります。治療には、口腔外科的な手術や顎関節マッサージ、マウスピース療法、ストレス解消法、咬合調整などがあります。
◆ 顎関節円盤の前方転移の原因は、大きく分けて以下の2つが挙げられます。◆
1.外傷:顎の強い衝撃や力が加わることで円盤が前方へ転移することがあります。
2.機能異常:咬合力や咀嚼運動の異常などが、円盤の正常な位置を保持するための筋肉や組織に影響を与えることで、円盤が前方へ移動することがあります。
◎診断には顎関節のMRI撮影が必要です。
顎関節円盤の前方転移は、初期段階では症状がないことがありますが、進行すると以下のような症状が現れることがあります。
・開口時にクリック音や異音が出る
・開口制限や痛みが生じる
・顎関節周辺の腫れや熱感が生じる
・顎関節周辺の筋肉の緊張や痛みが生じる
・咬合異常や接触部位の変化が生じる
治療には、症状や進行度合いに応じて様々な方法があります。初期段階であれば、顎関節の機能改善や筋肉の調整を目的とした理学療法が有効な場合もあります。進行した場合は、手術的治療が必要となることもあります。治療方法は、患者さんの状態や症状に合わせて選択されるため、個別に決定されます。
◆ TMD(顎関節症)における咬合スプリント(マウスピース)の作用機序、効果について ◆
TMD(顎関節症)の治療の1つとして、咬合スプリントが用いられることがあります。咬合スプリントは、特殊な素材で作られたマウスピースのようなもので、上下の歯の噛み合わせを調整することで、顎関節周辺の筋肉や組織の負担を軽減する効果があります。

咬合スプリントによる効果は、以下のように説明されています。
1.咬合力の分散
咬合スプリントにより、歯にかかる咬合力が分散され、ある程度均等に分担されます。これにより、特定の歯や歯周組織にかかる負担が軽減され、歯や歯周組織の病変を予防することができます。
2.筋肉の緊張の軽減
咬合スプリントは、咬筋や顎関節周辺の筋肉にかかる負荷を軽減するため、筋肉の緊張を緩和する効果があります。
3.顎関節の位置の調整
咬合スプリントを装着することで、顎関節の位置を調整することができます。これにより、顎関節の正常な位置関係を回復することができ、TMDの症状を改善することができます。
ただし、咬合スプリントはTMDの治療の1つであり、すべての症例に有効とは限りません。また、スプリントの選択や装着期間など、患者の状態や症状に合わせた適切な治療が必要です。
◆ TMD(顎関節症)の治療には、様々な方法がありますが。◆
TMD(顎関節症)の治療には、様々方法がありますが、根本的な原因が顎と歯の不調和である場合、噛み合わせの調整、及び噛み合わせの再構成と言われる、咬合の再構成を行う事は、歯の噛み合わせの微調整や被せ物の再調整・再生することで、顎関節周辺の筋肉や組織の負担を軽減することを目的としています。
咬合の再構成には以下のような効果が報告されています。
1.痛みの緩和 歯の噛み合わせが原因で起こるTMDの痛みを緩和することができます。具体的には、歯の接触点を微調整することで、噛むときにかかる負荷を分散し、痛みを軽減することができます。
2.開口障害の改善 咬合再構成により、顎関節周辺の筋肉や組織の負担を軽減することで、開口障害を改善することができます。
3.顎関節の機能改善 歯の噛み合わせが原因で顎関節に過度の負担がかかっている場合、調整により顎関節の機能を改善することができます。
ただし、咬合の再構成がすべてのTMDの症状に有効であるわけではありません。症状の改善が診られないこともあります。そのため、正確な診断を行い、適切な治療法を選択することが重要です。

■咬合ストレスと口の健康
目次
◇咬合のアンバランスと顎口腔系
◇咬合ストレスと諸症状
◇ある歯に咬合ストレスがかかると

◇咬合のアンバランスと顎口腔系
▼ 感情を表現する言葉には歯が使われるものが多くあります。
歯ぎしりをする思い
歯を食いしばって頑張る
悔しくて歯をギリギリいわせる
切歯扼腕
牙をむいて怒る
歯ごたえがある
歯切れが悪い、等々
▼ このように怒り、なげき、緊張などの感情の激しいときには歯を食いしばります。一般には前歯は平均15キログラム、奥歯は40キログラムの力がかかります。ピーナツは口の中では簡単に「バリバリ」と噛みつぶれますが、これを口の外でつぶそうとすれば簡単にはつぶれないでしょう。つぶそうとすれば金槌ででもたたかない限り砕くことはできません。上下の歯はものを食べるときだけ働くのではなく、あらゆるスポーツなど、また日常生活時にも筋肉の瞬発力を発揮するときの動作はすべて「歯がものをいい」ます。先に言ったように精神の統一、緊張、感情や情緒によって歯を無意識のうちに食いしばっているのです。通常そのときの「歯の食いしばり」は咀嚼するとき以上の力がかかるわけです。
▼ 歯を食いしばるのはそれだけではありません。夜寝ている間も歯を食いしばっているのです。それは「歯ぎしり」です。その食いしばる力はすごい力です。「歯をギリ、ギリ」と何とも不気味な音を立てます。大人では20人に1人、子供では20人に3人の人が「歯ぎしり」をするといわれています。その「騒音」の程度は様々です。また毎晩するとは限らず、また本人にはわからないのです。家人や友人に「安眠妨害」が指摘されて初めて知る場合が多いようです。
「歯ぎしり」はなぜするかは種々説があります。精神的ストレスとか気を使う仕事をした夜は歯ぎしりをするといわれています。
▼ また口の中の構造、つまり噛み合わせに不調和があったときに起こるようです。 正常な歯では、噛み合わせると歯はほとんど隙間がなく安定しています。歯の噛み合わせの面には凹凸がありますが、歯の凸の部分が凹の部分にはまるようになっています。ちょうど歯車が咬みあっているようになっているのです。しかしこの噛み合わせがうまくあわずに不調和があると睡眠中最も安定した噛み合わせの位置を求めて無意識に顎を前後、左右に動かし筋肉が異常に緊張します。その時歯をこすって音が鳴るのです。
▼ 歯の噛み合わせが不完全であったり、歯が抜けていたり、歯が動いていたりしていますと噛み合わせのバランスが崩れてきます。この場合歯を食いしばるために為に動く筋肉に異常が起こるのです。咬むと言うことは大変なメカニズムを持っています。それは下顎関節、筋肉、神経が関与しているのです。噛み合わせが不均衡になるとその不均衡の緊張が他の部分にも波及します。
▼ 人間の顎の関節と口は体のバランスの中央にあります。動物は4本の足で立っています。そうして尾と足と体のバランスをとりながら4本の足に等しく体重をかけているのです。人間は歩く時も立っているときも2本の足に支えられています。丁度上が重い摩天楼のように作られています。この立っているというバランスは頼りない2本の足で支えられ、しかも一番上には体の中で一番重い4㎏から6㎏もある頭が乗っています。しかもその頭がたった7つの小さな頸骨によって支えられているのです。そうなると顎が正しく働いているときは頭は気持ちよく首と肩の上に乗っていますが、もし顎が不均衡になると頭はバランスを失い頭を支えているすべての筋肉が頭を支えるために緊張を強いられるわけです。
▼ でもこの緊張は毎日を過ごすのに大変不快なものだろうと思われますが、不思議なことにほとんどの人たちはこのことに気づいてはいません。ですから頬づえをつく癖のある人、姿勢の悪い人、電話を顎で支える人はそれだけ筋肉は緊張していますがそれに加えて歯の噛み合わせが不均衡であるとその筋肉が緊張し、その2つが相乗されて筋肉のけいれんが起こります。
▼ 筋肉のけいれんが起こるとその筋肉に来ている血管も収縮し、筋肉に十分な血液が循環しなくなり、筋肉への栄養の補給がたたれ、新陳代謝が悪くなります。これによって筋肉の中に乳酸という老廃物がたまり痛みが起こるわけです。目、こめかみ、耳、偏頭痛、首筋の痛み、肩こり、ある人では背中まで痛くなることがあります。ですからこのような症状を持っている人が耳鼻科へ行ったり眼科や神経科へ行ってはっきりとした原因が分からずに困っている人が多くおられます。夜のテレビでは頭痛の薬や、怪しげな塗り薬のコマーシャルでいっぱいです。
▼ 頭痛にもいろいろありますが、筋肉が収縮したり緊張して起こる頭痛の95%は、これら噛み合わせの筋肉の不調和から起こっているという事がわかっています。
・これらの症状の起こるのは噛み合わせが悪く筋肉に緊張があっても症状として自覚がない場合であっても、仕事が思わしくなかったり、夫婦喧嘩をしたり、また新しいビルが建築中で「ガンガン」といやな音がするようなときなど、近代社会にはいろいろなストレスがありますがこれが引き金になります。勿論これも個人差があり、あまりストレスを感じない人や、また感受性の高い人があります。その閾値の高い低いによってそれぞれ変わってくるでしょう 。
短気の人も起こりやすいかもしれません。
▼ 慢性的な筋肉の収縮による頭痛や肩こりに悩んでいる人はまず薬を飲んでごまかしていますが、それは全身から送ってくる疲労のメッセージです。これを無視する前に体を動かしてみて、どこからこの緊張が来ているかを見つけてください。昼間に身体をどのようにしているかを思い出してください。たとえば事務所で働いている間に書類を書いたりしながら電話を肩と首の間に長時間挟んで話をしなかったか、ペンや鉛筆を口にくわえて考え事をしなかったか、無理な姿勢で重いアイロンを長時間かけなかったか、等々…。
▼ そのような場合肩や首や頭の筋肉が収縮をします。まもなくそれは痛くなり、後リラックスして休んでいても頭痛や肩の痛みは和らぎません。また歩いたり話したりしている間に握りこぶしを握っていないでしょうか。
それは全身的に緊張している合図なのです。
▼ このような場合リラックスして気分をゆっくりすることが大切です。またスポーツをすること、水泳、ジョギングもよいでしょう。仕事をするとき首や肩の筋肉を柔らかくするために首を回したり曲げたり、腕を伸ばして体操をすることが大切です。
・ しかしこのようなことが起こる原因の70%から80%が顎の噛み合わせのアンバランスから起こることは皆様にとって驚きだと思います 。

◇咬合ストレスと諸症状
▼ 口腔の健康を悪化させる原因の一つは虫歯や歯周病を引き起こす細菌(微生物)です。もう一つの原因は咬合ストレスなのです。
▼ 歯に過剰な咬み合わせの力がかかると、
① 歯の動揺
② 歯の磨耗
③ 歯の知覚過敏
④ 咀嚼筋の緊張
⑤ 下顎関節の異常
⑥ 歯根膜の破壊
⑦ 歯の破折
⑧ 口の悪習慣
等が引き起こされます。
▼ このように歯や歯周組織、また全咀嚼期間が過度な咬合ストレスによって異常な影響を受けることになります。従って組織の破壊が起こらない程度まで咬合ストレスを軽減することが必要になります。歯列にかかわる咬合ストレスと下顎が咀嚼時に上下に動く運動とがどのように調和しているかが問題になります。
▼ 歯が筋肉と関節との生理的な調和を乱すようになると咬合ストレスが生じます。もし歯と関節及び筋肉との調和が乱れると、歯にそのストレスがかかり、磨耗(すり減り)してきます。もし歯周組織に炎症があるとはに動揺が起こります。歯を支えている歯周組織の破壊が進みます。
▼ 咬合ストレスがかかった歯は、また歯を支えている歯根の周りの大変鋭敏な固有需要神経がセンサーになり、脳の中軸に求心的に伝達され、脳より遠心的に下顎を動かす筋肉に指令されてその歯に咬合ストレスがかからないように下顎の位置を変えるよう筋肉に働きかけます。そのことによってその無理矢理に下顎との変位を強いられたその筋肉は疲労し、乳酸の代謝が悪くなり、筋肉の強直が起こることになります。

▼ 特に下顎を前方に動かす為に位置を決める外側翼突筋が緊張します。その筋肉の緊張が他の閉口筋(内側翼突筋・咬筋・側頭筋)まで緊張が波及し、ついには口を開けることができなくなることもあります。その強直が頸部を支える筋肉、姿勢を正す背中の筋肉に波及して、肩こり、背中の痛みになり、また、筋肉からの頭痛にも関連してくるのです。
▼ また、下顎関節の円板と下顎の関節頭との配列がずれることによって関節の痛みを起こし、また関節が下顎を動かすごとに関節が「コツコツ」という音が鳴るようになるわけです。
▼ 従って一本の歯による小さな咬合ストレスでも筋肉の機能は変化を起こします。神経筋肉機構とはもともと本質的には咬合ストレスのかかった歯を保護するためにあるわけです。
それらは歯を守り、結果として他の正常に働いている筋肉などを破壊することになるのです。頭、首、ついには肩などの姿勢を維持する筋にまで影響を及ぼします。
▼ またこれらのストレスは破壊的なので歯を磨耗させたり、耳痛、歯痛が起こります。特に一番よく起こる問題として頭痛があります。一般的な原因不明の頭痛はこのことが原因することが多いわけです。よく頭痛のために内科や神経科で診てもらっても原因が分からないと云う事があります。咬合ストレスを調和させ、筋肉の調和をはかると長年苦しめていた頭痛が治ることがふつうよくあります。大部分の頭痛は筋緊張の結果で、また頭や首の筋肉の過剰な活動を引き起こす引き金は咬合ストレスであると云う事です。
▼ 咬合ストレスによって歯の動揺がある時、歯周組織に炎症がなければ、そのストレスを軽減させることにより動揺はなくなります。しかしプラッグによって歯周組織が炎症のあるときは咬合ストレスがかかることによって歯周組織が破壊され、歯牙の喪失につながる場合が多いようです。
▼ 歯冠の表面を覆っているエナメル質は身体で最も硬い組織です。一生涯咀嚼できるようにできているわけです。たとえ加齢的にだんだん表面のエナメル質が磨耗しても、下顎を上下に動かす三つの筋肉(内側翼突筋、側頭筋、咬筋)は働きをコントロールして、歯の上に食べ物が乗ったとき筋肉の収縮を最小にして歯の磨耗や破折の無い様に働くのです。この機能がうまく働いている限りは老人であっても歯列が整っていればそのエナメル質の咬む面(咬合面)は下顎運動と調和して磨耗していることがわかります。上下の歯がかっちりとかみ合った状態、また安定してかみ合っている状態、上下の歯が最大面積接触している状態のことを中心咬合といいますが、その中心咬合接触と顎関節の生理的な動きと調和しているときは、ほとんどの場合はの磨耗も少なく動揺も起こらないのです。
▼ 身体のどの組織もそうですが、それが解剖学的な正しい位置にない限りうまく機能しないものです。咀嚼系でも同じ事がいえます。咀嚼系のある部分がひずみができた場合でも機能して働かなくてはなりませんから、その結果無理が起こって咬合ストレスが発生し、異常な歯の磨耗が起こるのです。
▼ 咀嚼に関係する咀嚼器官は咀嚼の他に飲む、吸う、嚥下する、呼吸する、それだけではなく、ほほえむ、キスをする、唾を吐く、なめるなどの働きをするわけです。それと同時に大変大切な発語の器官でもあります。このように顎口腔系の全体というのは本当に多くの目的を持った働きをするすごいものなのです。その働きを満足に行えるように、口唇、舌、頬、関節、筋肉がお互いにその歯に対して高度な組織化された関係を持たなければならないわけです。それが充分な調和─シンフォニックを演奏しなければならないわけです。機能がシンフォニックを演ずるには、神経や筋肉が緊張することなくリラックスしていなければならないのです。
▼ 人間の身体というのはすべて力と力のバランスの上にあるといえます。細胞の膜は、細胞の内液の浸透圧と細胞外液の浸透圧とのバランスにあります。交感神経系は副交感神経系と平衡を保っています。体の中のすべての機能はその反対方向に働く力と平衡を保っているのです。これは基本的な自然の法則であるのです。咀嚼系においてもそれぞれの部分が緊張のないリラックスした状態にすることが重要な課題なのです。普段の何もしていないときの下顎の上下的位置も下顎の前後的位置もそれぞれ下顎を動かす筋肉の拮抗した調和から生まれます。上下の歯牙の位置も内側の舌の筋肉の圧力と外側の頬や唇の筋肉の圧力との拮抗したニュートラルな位置にあるのです。従って咀嚼系のあらゆる面でのバランスを考えない限り一生涯にわたって口腔の安定した健康を保ち維持することはできないのです。

◇ある歯に咬合ストレスがかかると
▼ もちろん、下顎関節自体の病気のある人、姿勢の悪い人、仕事などの習慣からも起こります。このように連鎖反応的に筋肉の緊張、痛みなどが波及していくのです。
上顎奥歯に咬み合わせの高い金冠を入れたとします。次のようなことが次から次へと起こってきます。
1. 歯が温かいもの、冷たいものに感じてしみてきます。
2. 歯は触れられると痛みを感じます。
3. 歯が動いてきます。
4. 歯がすり減ってきます。
5. 対合している下顎の歯がその高い部分を避けるように変位します。そうして他の歯に磨耗が起こります。
6. 下顎が変位しますから他の歯も力がかかって動いてきます。
7. 下顎が変位しますので、咀嚼筋が過度に活動し緊張し痙攣が起こります。
8. 筋の痙攣によって口があけにくくなります。
9. 筋が緊張して頭痛が起こります。
10. 歯痛、筋肉痛、頭痛が加わってきます。
11. 精神的にも"うつ"状態になります。
12. 下顎変位と筋の痙攣が加わって下顎の関節にずれができてきます。
13. 下顎関節の円板障害と筋肉の痙攣が合わさって顎関節が変性関節炎を起こすことになります。

一本の歯の早期接触がある時
*似たような症状があっても原因が違っていたり、原因が同じで
あっても症状は多様である。
症状のみを対象とする治療は先見性ない。
徴候と症状の両方の原因を特定する事が重要である。
*症状の原因である組織の損傷をを除去する事により、生体の順
応性により組織は回復する。
*原因と寄与因子と区別しないと、因果関係が混乱する。
*一本の歯の早期接触が特定の原因になり、多様な反応が起こる。
冷熱反応から始まり、TMJの構造的変化まで、この多様な症状や
徴候は一つの咬合干渉の結果であり、これに伴う寄与因子は、
咬合干渉がなければ起こらなかった。
*多病因説があるが、咀嚼系機能がどの様にデザインされている
かを理解すれば診断及び治療計画を立案する事が容易である。


咬み合わせと顎関節症の関係
私が歯科大学の学生時代の話です。最終学年6年生の臨床実習の時、学生がお互いに診療を行う相互実習がありました。私が友人の親不知を抜歯し、友人に一本の金属の被せ物の歯を入れてもらう事になりました。その被せ物の歯は、咬み合わせを合わせて入れてもらいました。しかし、友人に被せ物を装着してもらった日の夜、その歯が痛くなり、肩が凝り、夜寝る時どこで咬んだらいいか分からなくなり、顎がだるくて、ほとんど夜寝られずに過ごすことになりました。そして、次の日の朝には口が1cm程しか開かなくなってしまったのです。咬み合わせるとその歯は激痛がして、顎を動かすこともできなく、肩が凝って首も回らない状態でした。一本の歯の咬み合わせが、こんなにもいろいろ症状を引き起こすことになるのかと、身をもって知る貴重な体験となりました。顎が開かないので、小さなマウスピースをいれて筋肉の緊張を取る処置をしてもらい、口が開くようになってから、その冠は外してもらいましたが、3週間程、それらの症状は続き、口がしっかり開かず、顎関節が痛み大変苦労しました。
友人が被せた歯の装着時、カチカチ噛む時の咬み合わせは合わせていましたが、顎を左右に動かす時の調整はほとんどしていませんでした。顎を動かすとその被せた歯しか当たらなかったのです。
咬み合せた状態で、顎を前、左右に動かす時、奥歯が引っかかっていませんか?
理想的な咬み合わせは、その時に前歯だけがあたっていることなのです。
奥歯が左右に動かす時に当たると、奥歯が左右に揺さぶられ、歯に負担がかかります。その事により、歯の痛み、破折、歯茎に負担、歯が浮く、関節に負担、関節の痛み、筋肉の緊張など、すべての顎関節症状の原因にもなります。
また、歯周病の原因にもなります。
皆さんも、口が急に開かなくなったり、硬いものを咬むと顎が痛かったり、大きな口あけると耳の前の顎の関節がコキッと音が鳴ったりしたことはありませんか?これは顎関節症の症状の一つです。顎の関節の中にある、関節円板・・・それは骨と骨との間にある軟骨の座布団のようなものです。それが、関節からずれたりすると関節が動きにくくなりします。その軟骨が皺になり、関節が動くときに乗り越えたりするときは音が鳴ります。さらに症状が進むと固いものを咬むと顎が痛くなったりもします。

原因には、
悪い被せ物のほかに、事故で顎を打った経験のある方、食いしばり、歯ぎしり、頬杖を突く癖、うつむきで夜寝る習慣のある方は、顎の関節に負担がかかり、このような顎関節症を発症しやすくなります。また、関節を動かす筋肉に疲労がたまり、痛みや緊張を起こし、口が開かなくなる、頭痛、肩こり、顔面痛を起こすこともあります。
からだの関節の中で、一番変わった動きをするのが、顎の関節だと言われています。普通の関節は回転するだけの動きしかしませんが、顎の関節は関節そのものが前に動く事ができるのです。顎を前や左右に動かしたりすることと、そして顎を開けることが同時にできます。このように、大変強い咬む力が関節にかかり、自由に動くことができる関節はデリケートで、咬み合わせの少しの狂いや、様々な習慣で問題を起こしてしまいます。

診断と治療
これらの咬み合わせの問題から来る顎関節症には、正確な顎関節の「病理的な診断」と「咬み合わせ診断」を必要とし、治療にはマウスピース(ナイトガード)や専門的な咬み合わせの調整などが必要になっていきます。2010年の10月末にパンキー研究所よりベッカー先生を招待し、日本の歯科医師にパンキー研究所が推奨する咬み合わせ理論と診療の講演をしていただきました。ベッカー先生はパンキー研究所で28年間最高教育責任者として責務についておられました。パンキー研究所では、主に歯科の哲学と咬み合わせに関する研修を行っています。世界40カ国の歯科医師2万人以上に、約40年もの間、同じ咬み合わせの理論について研修を行っているところはパンキー研究所以外他にありません。パンキー研究所でのかみ合わせの理論の正当性が多くの論文で証明され、世界的に認められて来ています。

川村歯科では、約40年前よりパンキー研究所による考え方に基づき、咬み合わせの診断をし、咬み合わせを考慮した診療を行っています。これは、咬み合わせの安定をはかり、顎関節症予防、歯の破折、歯周病の発症と進行を極力防ぎ、一生涯歯を守ることにもなります。
また、川村歯科研究所では、日本の歯科医師たちに、パンキー研究所の哲学と、この咬み合わせ治療の理論の講習を行い、広める活動も行っております。御自分の咬み合わせや顎の違和感があれば、一度ご相談ください。


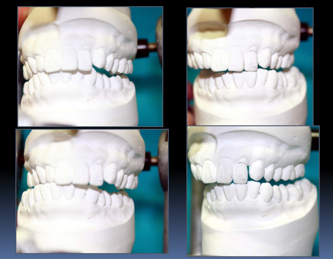
私たちグッドスマイル診療所(ホリスティック デンタル インスティチュートで講習を受けられた先生の診療所)では、咬み合わせの診査の際、必ず歯科医師が咬み合わせを採得し、人の顎と同じ動きを再現する「咬合器」に模型を装着し咬み合わせの診断を行っています。顎の正しい位置と上下の歯の咬む位置のずれを調べ、歯にかかる不調和な力を診断することが大変大切なのです。
これは、世界標準的な咬み合わせの診査方法ですが、日本では一般的ではありません。患者まかせに咬み合わせた位置で治療を重ねると咬み合わせがずれてしまうことが多くあります。


歯科医師が咬み合わせを咬合器に正確に装着する技術は、簡単ではありません。この咬み合わせを採る方法は、パンキーインスチュート出身のドーソン先生の名前からドーソン法とも言われています。
グッドスマイル診療所ではこの咬み合わせの採得の研修を行い日々研鑽する項目です。特に咬み合わせの不調和により、歯が左右に揺さぶられ歯にかかる力が負担になることが、歯周病や歯の破折を引き起こす原因となってしまいます。
治療やメンテナンスでは、これらの不調和を無くす咬み合わせの調整をする事により歯にかかる力のコントロールが必要となります。
