90歳グループ (90歳~94歳)
平均 メンテナンス年数 33.2年
初診 来院時の年齢 平均 58歳
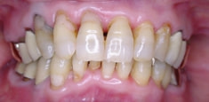
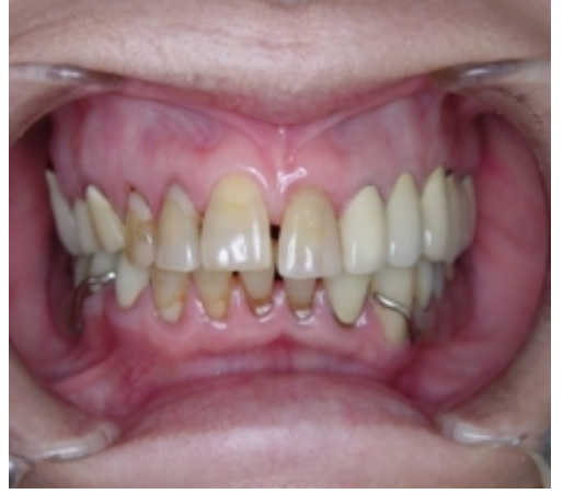
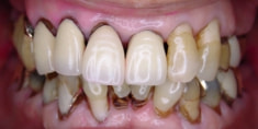
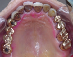
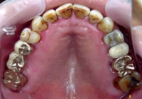
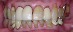
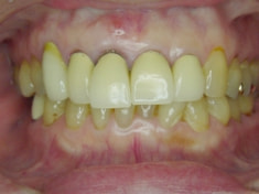
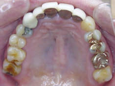
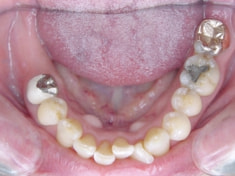
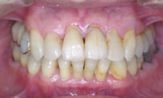
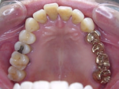
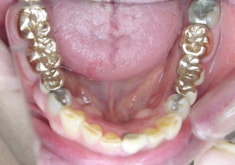
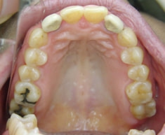
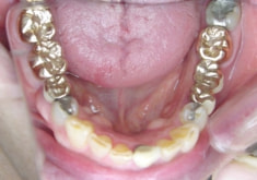
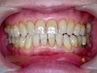
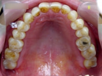
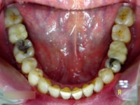
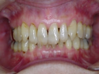
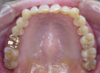
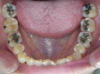
94歳 女性
メンテナンス期間 38年
現在歯数 25本



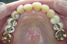
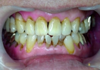
91歳 女性
メンテナンス期間 44年
現在歯数 20本



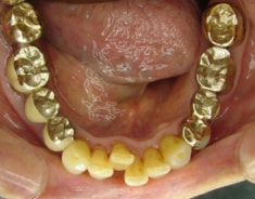
90歳 男性
メンテナンス期間 40年
現在歯数 26本



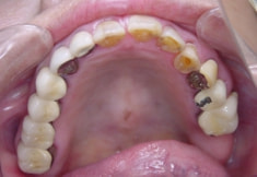
90歳 男性
メンテナンス期間 43年
現在歯数 28本



90歳 男性
メンテナンス期間 36年
現在歯数 22本



85歳~89歳グループ
平均 メンテナンス年数 27.8年
初診 来院時の年齢 平均 57歳
88歳 女性
メンテナンス期間 29年
現在歯数 26本



88歳 男性
メンテナンス期間 42年
現在歯数 26本



85歳 男性
メンテナンス期間 38年
現在歯数 26本



80歳~84歳グループ
平均 メンテナンス年数 28.6年
初診 来院時の年齢 平均 49歳
83歳 女性
メンテナンス期間 40年
現在歯数 28本



81歳 女性
メンテナンス期間 31年
現在歯数 32本



81歳 女性
メンテナンス期間 30年
現在歯数 32本


